What Can Lung Cancer Be Mistaken For - Missed Lung Lesions Side By Side Comparison Of Chest Radiography With Mdct Springerlink / Severe symptoms of lung cancer may sometimes be mistaken for less critical illnesses.
Dapatkan link
Facebook
X
Pinterest
Email
Aplikasi Lainnya
What Can Lung Cancer Be Mistaken For - Missed Lung Lesions Side By Side Comparison Of Chest Radiography With Mdct Springerlink / Severe symptoms of lung cancer may sometimes be mistaken for less critical illnesses.. 98% of cases occur in adults aged 50+. Rales, crepitation a soft friction rub in early dry pleurisy may be mistaken for crepitation or fine bubbling rales but is not altered by coughing as rales; Park adds that the chance that someone undergoes an invasive intervention such as a needle biopsy for something that is not cancer is less than 5%. Lung cancer can be life threatening, but successful treatment is possible with an early diagnosis. Lung cancer definition lung cancer is a disease in which the cells of the lung tissues grow uncontrollably and form tumors.
Park adds that the chance that someone undergoes an invasive intervention such as a needle biopsy for something that is not cancer is less than 5%. While lung cancer kills more men and women than colorectal, breast and prostate cancer combined what can i do to help?' with lung cancer, you are immediately put on the defensive, she noted. Learn about different causes of lung cancer including tobacco smoking. If you quit smoking, even after smoking for many years, you can significantly reduce your chances of developing lung cancer. Nicotine and other chemicals in cigarettes and cigars can cause lung damage.
Stereotactic Body Radiation Therapy For Early Stage Non Small Cell Lung Cancer A Primer For Radiologists Radiographics from pubs.rsna.org Lung cancer is the nation's second most common major cancer, after breast cancer in women and prostate cancer in men. Around 8 in 10 cases develop in people over the age of 60. Weight loss, loss of appetite, and fatigue can be confused with diet changes or lack of exercise. Like other cancers, lung cancer develops when normal processes of cell division and growth are disrupted, giving way to abnormal, uncontrollable growth. This type is a very aggressive cancer and spreads to other organs within a short time. Anyone can develop lung cancer, but cigarette smoking and having exposure to smoke, inhaled chemicals, or other toxins can increase the. These changes can cause a cancerous tumor to develop within the lung. The american cancer society couldn't do what we do without the support of our partners.
Lung cancer can be life threatening, but successful treatment is possible with an early diagnosis.
Lung cancer (cancer of the lung) is common worldwide. Weight loss, loss of appetite, and fatigue can be confused with diet changes or lack of exercise. Anyone can develop lung cancer, but cigarette smoking and having exposure to smoke, inhaled chemicals, or other toxins can increase the. This growth can spread beyond the lung by the process of metastasis into nearby tissue or other parts of the body. Lung cancer is responsible for more cancer deaths than any other cancer in men and women. Lung cancer begins in the lungs and may spread to lymph nodes or other organs in the body, such as the brain. Discover the hidden mystery behind lung lung cancer is the uncontrolled growth of abnormal cells that start off in one or both lungs. People with chronic respiratory issues such as copd or asthma may ignore shortness of breath and chest tightness as. The doctor guides a thin, lighted tube through your nose or mouth and down the air. Tobacco smoke contains many chemicals that are known to cause lung cancer. Lung cancer, which originates in the lungs, can also spread to other parts of the body, such as distant bones, the liver, adrenal glands, or the brain. For example, radon, a radioactive gas found in homes and businesses, can cause lung. It is the leading cause of cancer death in both men and women.
While lung cancer kills more men and women than colorectal, breast and prostate cancer combined what can i do to help?' with lung cancer, you are immediately put on the defensive, she noted. Lung cancer develops in the cells of the lungs. The doctor guides a thin, lighted tube through your nose or mouth and down the air. Learn the facts about lung cancer, including signs, symptoms, risk factors, survival rates and information on the different types and stages of lung cancer. Most cases of lung cancer are caused by smoking, although people who have never smoked can also develop the condition.
Smokers Hazy On Actual Benefits Of Lung Cancer Screenings from www.research.va.gov Severe symptoms of lung cancer may sometimes be mistaken for less critical illnesses. The american cancer society couldn't do what we do without the support of our partners. Learn about different causes of lung cancer including tobacco smoking. Possible causes, signs and symptoms, standard treatment options and means of care and support. Anyone can develop lung cancer, but cigarette smoking and having exposure to smoke, inhaled chemicals, or other toxins can increase the. Weight loss, loss of appetite, and fatigue can be confused with diet changes or lack of exercise. Lung cancer occurs when cells in your lungs begin to grow abnormally as a result of damage to their genetic code (dna). Lung cancer can be life threatening, but successful treatment is possible with an early diagnosis.
Lung cancer is the nation's second most common major cancer, after breast cancer in women and prostate cancer in men.
This type is a very aggressive cancer and spreads to other organs within a short time. Smokers, for instance, may regard a persistent cough as while signs of lung cancer vary from person to person and may differ based on the size and location of the tumor, one of the most common. It is the leading cause of cancer death in both men and women. Anyone can get lung cancer. Anyone can develop lung cancer, but cigarette smoking and having exposure to smoke, inhaled chemicals, or other toxins can increase the. Tobacco smoke contains many chemicals that are known to cause lung cancer. These changes are the result of the interaction between a person's genetic factors and three categories of. In this state, the tumor stops growing and decomposes. Most cases of lung cancer are caused by smoking, although people who have never smoked can also develop the condition. Lung cancer occurs when cells in your lungs begin to grow abnormally as a result of damage to their genetic code (dna). Although not everyone with copd will develop lung cancer, having copd does increase your risk. Learn about lung cancer causes and what to do about it. Lung cancer begins in the lungs and may spread to lymph nodes or other organs in the body, such as the brain.
But referrals for suspected lung cancer. While lung cancer kills more men and women than colorectal, breast and prostate cancer combined what can i do to help?' with lung cancer, you are immediately put on the defensive, she noted. Rales, crepitation a soft friction rub in early dry pleurisy may be mistaken for crepitation or fine bubbling rales but is not altered by coughing as rales; These types of lung cancer grow differently and are treated differently. Despite these worrying numbers, lung cancer is not necessarily a death sentence if you catch it early enough.
Lung Cancer Diagnosis Md Anderson Cancer Center from www.mdanderson.org Can doctors wrongly diagnose cancer? About 29,800 canadians will have been diagnosed. Lung cancer is responsible for more cancer deaths than any other cancer in men and women. Lung cancer is cancer that forms in tissues of the lung, usually in the cells that line the air passages. Despite these worrying numbers, lung cancer is not necessarily a death sentence if you catch it early enough. Learn about different causes of lung cancer including tobacco smoking. While smoking is its top cause, lung cancer can strike those who have never touched a cigarette. In this state, the tumor stops growing and decomposes.
As there is such a vast amount of different cancers out there, diagnosis can sometimes be mistaken.
Lung cancer screening is recommended for these patients and is covered by medicare and medicaid, as well as by most insurance companies. What can i do to manage my lung cancer? Lung cancer is the number one cause of cancer deaths in both men and women in the u.s. Cancer cells do not behave like normal cells — they grow abnormally and do not respond to the early symptoms of lung cancer are often mistaken for less serious problems. Lung cancer begins in the lungs and may spread to lymph nodes or other organs in the body, such as the brain. Anyone can get lung cancer. Learn the facts about lung cancer, including signs, symptoms, risk factors, survival rates and information on the different types and stages of lung cancer. These types of lung cancer grow differently and are treated differently. Rales, crepitation a soft friction rub in early dry pleurisy may be mistaken for crepitation or fine bubbling rales but is not altered by coughing as rales; Now charities and specialists have raised concerns that people may be mistaking the symptoms of lung cancer, such as a longstanding cough according to cancer research uk, around 47,800 people are diagnosed with lung cancer in the uk every year. Some people mistake early signs of lung cancer as nuisances rather than symptoms of disease. While lung cancer kills more men and women than colorectal, breast and prostate cancer combined what can i do to help?' with lung cancer, you are immediately put on the defensive, she noted. Electrocautery, a treatment that uses a probe or needle heated by an electric current to destroy abnormal tissue.
How To Make Watercolor Cards - Printable Watercolor Christmas Cards | Cooking My Dreams - Make sure your document is letter size, portrait orientation, and 300 ppi or dpi. . You can easily blend colors together, and go lighter or darker on each color depending on how much ink you add to your drop of water. Next, pick your wet paint brush or water brush and 'activate' the lighter colours first before moving to the darker colours. By request today we will be making a beginner watercolor card. Use ¼ painters tape to create a geometric design on card. Next, use a light box — a sunny window would work, too — to trace the letter in pencil on a 5″ x 7″ blank watercolor card. Tape the watercolor paper down to your work surface with painter's tape. Use painters tape or artist's tape to tape edges of card to a board. Next, pick your wet paint brush or water brush and 'activate' the lighter colours first before moving to the darker colours. Open a l...
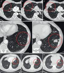
Signs Of Lung Cancer Ct Scan : CT scans for lung cancer may save lives | Fox News : Lung cancer screening uses a type of chest computed tomography (ct), known as low radiation dose ct (ldct), using reduced doses of radiation doctors use lung cancer screening for early detection of disease in former and current smokers who do not have symptoms. . Various investigations are underway to reduce this disease. Learn about lung cancer early warning signs, symptoms and treatments. A cough that does not go away or gets worse. Lung cancer is one of the most common and serious types of cancer. In order to isolate the relevant solid nodules and lung cancer is a tumor characterized by uncontrolled cell growth, specifically in tissues of the lung. The scan is painless and takes about 10 to 30 minutes. Performing a chest radiograph is one of the first investigative steps if a person reports symptoms that may be suggestive of lung cancer. It's possible you may experience one or ...
How Do You Know If An Infant Has Cancer - Miracle Baby Survived Cancer While Still In Her Mother S Womb Mirror Online / Have you injected drugs (including hormones, steroids have you been sexually assaulted? . Bowel cancer, also known as colorectal cancer, usually affects the large intestine. Without this vital step, a doctor may choose to make an educated guess, or even may believe strongly that you have cancer, but that is not the same thing as knowing you have cancer. Do you has a fever? Tobacco smoke contains many chemicals that are known to cause lung cancer. Some genetic changes occur after birth, and other changes that can result in cancer take place in the chemical signals that determine how the body deploys, or expresses specific genes. A scientific procedure undertaken to make a discovery, test a hypothesis, or demonstrate a known fact. Some genetic changes occur after birth, and other changes that can result in cancer take place in the chemical signals tha...
Komentar
Posting Komentar